General
- Infection bactérienne à M Tuberculosis
- Transmission par Gouteletttes
- Granulomes avec nécrose caséeuse (contrairement a la Sarcoidose)
- Les Infections fongiques peuvent ressembler ++ à une Tuberculose (Histoplasmose, Coccidioïdomycose )
- Le risque de transmission dépend de la proximité, temps d’exposition et immunité
- 95% des Primo-infection font des TB dormantes (latentes) pouvant se ré-activer
- Facteur de Risques : Provenance de pays endémique/exposition direct ainsi que immunité compromise (HIV, traitements immuns, malades, etc.)

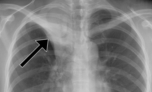
TB Primaire
- Chez 5% des primo-infection, le système immunitaire ne contient pas l’infection et la maladie se développe
- Adénopathies à centre hypodense (peut être l’unique trouvaille)
- Consolidations
- Cavernes (rares, chez les HIV ou immunodéprimés→ on parle de TB primaire progressive)
- Epanchement pleural (d’hypersensibilité, sans BK dedans)
- Empyème (atteinte avec BK, risque de fistule bronchopleural)




Reactivation de TB
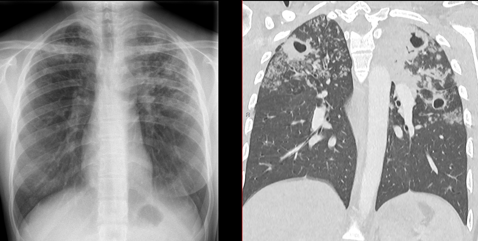
TB post-primaire
- Peut se faire par réactivation (++)< (baisse de l’immunité) ou réinfection (Rare)
- Toux, Fièvre, Perte de Poids, ± hémoptysies
- Distribution ( Oxygène ++ et Clearance Lymphatique —)
- segments apicaux et postérieurs des lobes sup.
- segments supérieurs des lobes inf.
- Consolidations en patch
- Nodules centrolobulaires à coutours flous en arbre en bourgeon
- Cavernes ++ → risques de pseudoanévrismes de Rasmussen
- ADP (moins marquées)


TB latente
- Focus de Ghon = Tuberculome initial, calcicié
- Compexe de ghon = Focus de Ghon + ADP
- Complexe de Ranke = Complexe de Ghon caicifié
- Un focus de Ghon peut être le foyer d’une réactivation par la suite


TB de l’immunosupprimé
- Patients HIV++
- Fait comme une TB primaire
- Consolidations
- ADPs

TB Miliaire
- Dans les TB primaires et Post-primaires
- Patients vieux, ou immunosupprimés
- Dissémination lympho-hématogène
- Rare mais mauvais pronostic
- Micronodules de 1-3mm de distribution aléatoire (hématogène)

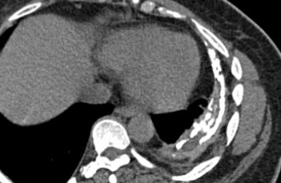
Pseudoaénvrisme de Rasmussen
- Complication rare de TBC
- Pseudoanévrisme des artères pulmonaires (mais les autres VX aussi)
- A proximité des cavernes ++
- Fait des Hemoptysie


rasmusen rassmussen rasmussen rassmüssen rasmüssen anévrisme Rasmussen ramus ramussen rammussen pseudoanevrisme Tuberculose
Empyème tuberculeux
- Epanchements pleuraux dans les TB primaires (Pleurite tuberculeuse), peuvent dégénérer en…
- Empyème Tuberculeux si rupture d’une cavité tuberculeuse dans la plèvre
- Épanchement pleural cloisonné
- Epaississement et irrégularité pleurales
- Calcifications pleurales
Épanchement cloisnnée par une plèvre épaisse et calcifiée
Cas
Nodulations et cavernes
Bronchogene carabinée
REF
- https://lamediatheque.radiologie.fr/mediatheque/media.aspx?mediaId=50208&channel=3277
- Radiographics: Pulmonary Tuberculosis: Roleof Radiology in Diagnosis and Management
TB TBC tuberculosis M-tuberculosis primary primaire secondaire réactivée réactivation recurrent gohn ranke rhanke ranhke rahnke post-primaire postprimaire ratke rathke primaire aigue primaire progressive secondaire réactivatino latente miliaire milliaire millliaire miliary milliairy koch bk bacille bacile bacillus bacilus kokh kohk koch kochk gon gohn ghon gonn ghonn gohnn rake rahke rakhe ranke rahnke ranhke focus lesion lésion foyer tuberculome