Métastases Cardiaques
Général
- 40-100x plus fréquentes
- Première Cause de Masse cardiaque adulte
- Types de Cancers:
- Poumons
- Seins
- Oesophage
- Mélanome
- Voie de propagations
- Hématogène
- Veineuse
- Lymphatique
- Contiguité
CT
- Prise de contraste
- ADP médiastinales dans 80% des cas
- Epanchement péricardique fréquent

Sarcomes Cardiaques
Général
- Première tumeur primaire du coeur
- Angiosarcome ++ mais autres types possibles (liposarcome, rhabdomyosarcome, leiomyosarcome)
- Souvent métastatique à la présentation
- Mauvais pronostic
Localisation
- Angiosarcome: OD > OG
- Autres: OG > OD
CT
- Masse de la paroi
- Hypodense
- Prise de contraste
- Invasif

OD = plutot un angiosarcome; OG = plutot PAS un angiosarcome
Lymphome Cardiaque
General
- Rare
- Patients HIV
CT
- Masse infiltrative
- Mal délimitée
- Epanchement péricardique possible


Localisation

Cas
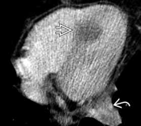
Metastases
Metastases de mélanome VD et OD
Metastase myocardique melanome progressif
REFS
meta méta métastase metastase coeur caridaque cardio malin maligne léesion lesion lésion tumeur tumeurs cancer mass