
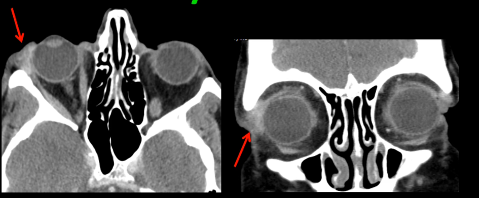
Dacryocystite
Général
- Nouveaux nés vs Hommes de >40ans
- Atrésie du canal lacrymal (nouveaux nés)
- Anomalie locale ou inflamamtion (adultes)
- Sinusites
- Deviations du setpum nasal
- Mucocele des sinus paranasaux
- Wegener
CT
- Tuméfaction ovoide près du canthus interne
- Souvent cellulite préseptale associée





Dacryoadénite
- Inflammation / infection de la glande lacrymale
- Aigue: bactérienne, pseudotumeur
- Chronique: sjogren, vasculites, sarcoidose…

Tumeurs de la glande lacrymale
Adénome pléomorphe
- Tumeur bénigne la plus fréquente
- Lentement progressive
- Bien définie
- Remodellage du Zygomatique

Carcinome adénoïde kystique
- Tumeur maligne la plus fréquente
- Au début, non distinguable de l’adénome pléomorphe
- A la longue, signes d’invasion locaux (érosion osseuse ++)

Lymphome de la glande lacrymal
- Moule le globe et l’orbite
- N’érode pas l’is

pléomorphe pleiomorphe