Granulomatose avec polyangéite
Generalités
- Granulomatose nécrosante multi-systémique avec vasculite
- Auto-immunité contrle les neutrophiles (c-ANCA) → Altérations des vaisseaux et formation de granulomes
- Atteinte ORL (pansinusite)
- Atteinte rénale (hématurie, protéinurie, glomérulonéphrite)
- TTT: Cyclophosphamide, Corticostéroides

Poumons
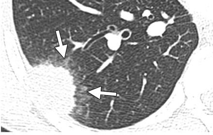
- Multiples nodules aléatoires de taille variable (2 - 10 cm), à bords irréguliers
- Cavitation dans les nodules de grande taille (contrairement au DD: Nodules cavitaires de PR)
- Si hémorragie: plages de VD, crazy paving ou consolidation




Trachée et Bronche
- Epaississements pariétal circonférentiel
- Implique aussi la paroi postérieure non-cartilagineuse
- Effet Sténosant
Cas
Avec petites plages de VD hemorragique
poumon thoracique thorax wegner wegener
