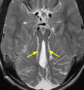
Général
- Hypoplasie du vermis cérébelleux
- Aspect en “Molar Tooth”
- Enfant hypotone avec retards de développement et ataxie

jouber toth tooth toot teeth teeths teth tehts dent denté dentés cérébellum mid brain midbrain mesencephale wermis cervelet cérvelet cerebelleux cérebelleux cérébelleux cérébeleux cerebeleux cerébeleux cerébelleux cérebeleux cérebrum cervelas mésencephale mésencéphale mesencéphale mesencephalique mésencephalique mésencéphalique aplasia aplasie mesencéphalique