General
Taille des anses
- Intestin grele < 3cm
- Colon < 6cm
- Caecum < 9cm
Iléus Mécanique
- Saut de calibre
- Feces sign proximal au site d’obstruction
- Stase veineuse
- Signes de souffrance des anses (hypoperfusion, pneumatose, pneumoperitoine, penumatose porte, liquide libre)
- Causes
- Brides ++ (invisibles au CT)
- Hernies incarcerées
- Hernies internes
- Intussussecption (Invagination)
- Masses (Cancer colique, carcinose péritonéale)
- Crohn
- Iléus biliaire : Sur calcul migré
- Corps etranger
- Bezoars (la masse contient des points d’air)
- Sténoses séquellaires (radiques, TBC)

Occlusion à Anses fermées (Closed Loop)
- 2 sauts de calibres (2 “becs”)
- Pas de distension en amont, que local
- Risque d’ischemie veineuse (congestion veineuse)
- Risque de nécrose de paroi ++
- “Ballons on a String sign” (Anses raccordées au mésentère qui pointe vers l’obstruction)
- Sur Bride ++ ou autres causes (volvulus, hernie interne…)

Iléus Paralytique
- Pas de saut de calibre
- Post-opératoire résoud en 4 - 7 jours

Syndrome d’Ogilvie
- Pseudo-obstruction aigue
- Possiblement du à une anomalie d’innervation sympathique
- Patients hospitalisés ++ (post-op et septiques typiquement)
- Diminution de la motilité du colon gauche (défaut parasympathique)
- Dilatation qui commence au caecum (loi de Laplace)
- Puis colon droit > Transverse
- Risque de perforation si caecum >10cm
- Traitement par aspiration (sondre rectale) mais echec dans 20% des cas

Cas
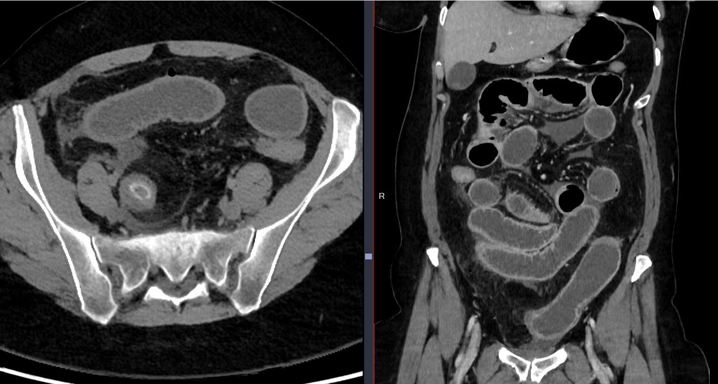
Ileus Mecanique
Ileus mecanique sur noyau d’abricot
Closed loop
Clsoed Liip sur brides
closedloop closed lop anse fermee obstrucitf iléu ileus grele grêle grelle digestif anse anses colique colon oglivie ogive ogilvie iléus fermee closed close lop loop obstruction olgilvie olgilvie ogilvie olive