Syndrome Alvéolaire
- Condensations
- Bronchogramme aérique

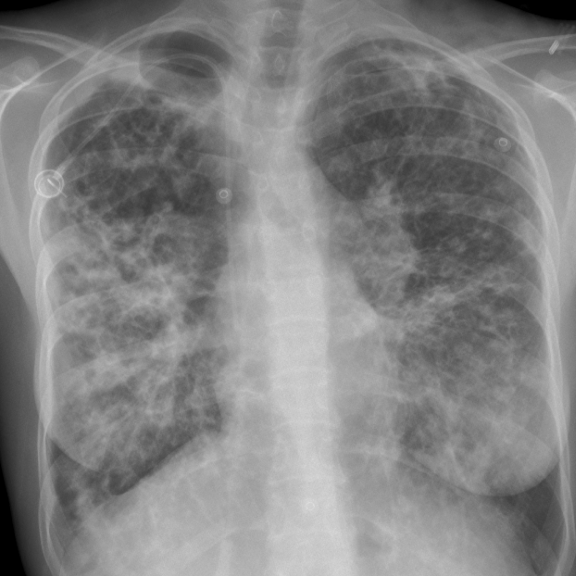
Syndrome Interstitiel
- Réticulaire
- Nodulaire
- Réticulo-Nodulaire


Syndrome Nodulaire
- Du nodule…
- … Au Lacher de ballons

Syndrome Cavitaire
- Nécrose
- Infections

Syndrome Pleural
- Epanchement
- Pneumothorax

Syndrome Pariétal
- Erosion des cotes++

Syndrome Médiastinal

Syndrome Bronchique
- Images en Rosette
- Non visible quand discret
- Ressemble a un syndrome interstitiel
