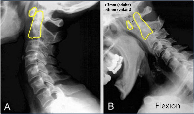
RX
- Distance dent-C1 en Flexion >3mm (>5mm enfant)

Classification de Fielding et Hawkins
-
Type I: Rotation simple. Ligament transverse intact, la dent est le pivot
-
Type II: Rotation et déplacement antérieur entre 3-5mm, Ligament transverse atteint, articulation facettaire est le pivot
-
Type III: Déplacement Antérieur de >5mm, luxation des deux facettes
-
Type IV: Subluxation postérieure (rare)

Ligaments

Alar alair ligament apical alairedislocation luxation atnlanto axiale axis odontoide dent C1 C2 atlas atlantoaxiale atlanto-axiale atlanto atlas axis ligament cruciforme alaire transverse instabilité instabilite