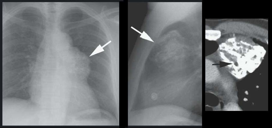
Général
- Une des 5T des masses médiastinales antérieures
- Croissance lente
- Le Tératome est une des 3 catégories de Tumeurs à Cellules Germinales

CT
- Bien délimitée
- Graisse
- Kystes
- Calcifications, Dents
- Niveaux hydro-graisseux: très spécifique


Tératome Kystique
DD d’une lésion médiastinale antérieure Graisseuse
- Lipome
- Liposarcome
- Thymolipome
tératome médiastinal TCG germinale gérminale germinal gérminales germinal tumeur cellule teratome mediastin médiastin seminome séminome seminoma afp bhcg beta hcg alpha foeto proteine protéine alphafeto feto alphafoeto niveaux hydro graisseux graisse liquide liquidien thymo lipome