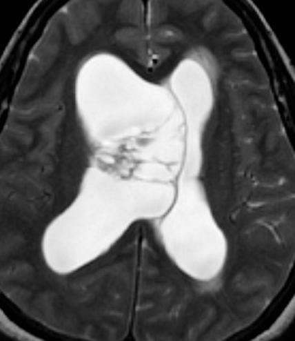
Général

  • Masse attaché au septum pellucidum ++
  • Proche du Foramen de Monro
  • WHO Grade II
  • DD subependymome

9c8ef099358a4167de1d2f6758d4c640.png 9f9ded77a276269b5053a849425b68e7.png

9fa4165ab3307b33409eaa0de709a987.png f12aafecf90df51fe3590569f4311df0.png

pellucide peulcide pelucie pelucidum pellucidum septa