Generalités
- Déformation de la colonne avec angle de Cobb >10°
- Scolioses Posturales = se corrigent avec la posture (mais peuvent se fixer à long terme)
- Scolioses Structurelles = sur des pathologies et malformations
- Typiquement en pédiatrie: l’hémivertèbre
- Observation si <25°, Corset si <45°, Chir si >45°
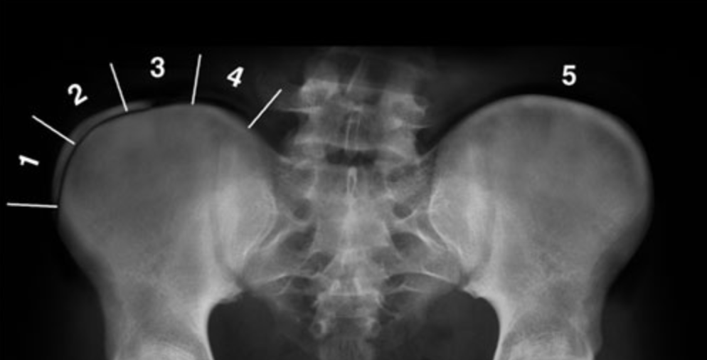
Stade de Risser
- permet de prédire si la scoliose risque de s’aggraver (Risser bas) ou se stabiliser (Risser haut)
- La différence entre Risser 4 et 5 est la fusion du noyau avec l’ilium

Hémivertèbre

scoliose sccoliose scoliosis scolises rise rissher rissser rhiser rhisser stad kob cob cobb coob koob kobb koobb coobb