Types de Dyraphisme
- Dysraphisme ouvert (spina bifida aperta) = lésion pas recouverte par la peau, exposée (ne pas poser d’US dessus)
- Dysraphsme fermé (spina bifida occulta) = couverte par la peau, avec ou sans bosse

Dysraphisme ouvert
spina bifida aperta
Myelomeningocele
- Le plus fréquent
- Associé au Chiari II

Myeloschisis/Myelocele
- Plus rare

Dysraphisme fermé avec bosse
spina bifida occulta
Meningocele
- Pas de tissus nerveux dans le sac

Lipomyelomeningocele
- Associés à la moelle basse attachée

Dysraphisme fermé sans bosse
Lipome du filum terminale
- Si plus haut dans la moelle = Lipome Intradural

Diastématomyélie de Type I

Diastématomyélie de Type II

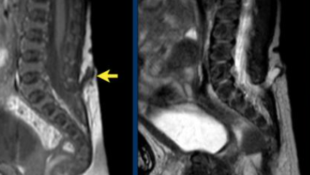
Moelel basse attachée
- Cône se terminant en dessous de L2
- Filum terminale épaissit
- Peut être associée à une myéloméningocèle ou un lipome du filum terminale

teethered tethered tetherd cord syndrome implantée implantee atachée atachee attachee moele Tethered cord syndrome moelle basse
Syndrome de Régression caudale
- Agénésie de vertèbres Sacro-Coccygiennes
- Cone medullaire “tronqué”
- Mères diabétiques ++

Sinus dermique
- Connexion entre la peau et le sac dural

Cas
Meningocele avec flium terminale en son sein
Ref
https://pubs.rsna.org/doi/full/10.1148/rg.2021200103
tract tractus diast hémato diasthémato diasthématomyélie regression diastemato dys raphsiem raphsime dysraphisme spinal spinale moele moelle malfromation malfoutouse malformations anomalies