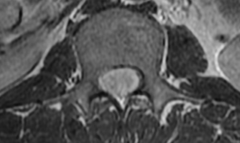
Ependymome Spinal

  • Tumeur du cordon médullaire la plus fréquente de l’adulte (PED = Astrocytome Spinal)
  • Centrales (originaires du canal central, contrairement à l’astrocytome qui est excentré)
  • Bien délimitées, remodellantes
  • Réhaussante ++
  • Syryngo-hydromyélie souvent associée
  • Pertes sensitivo-motrices

9f68c9f7d511966155252eafe9e765d2.png b2a104c3252c90a4f66439075e9528dd.png bff9630e85b64fee84e927191fec4d0a.png

ecb2ebb7dcfc08de9ba562d0bd9ad5f3.png b8463cd1f31fceaf70860dd3ac09deb4.png


Ependymome Myxopapillaire

  • Variante de l’Ependymome Spinal
  • Départ du filum terminale (= intradural extra-médullaire)
  • Lobulées, ovalaires, en saucisse
  • Peuvent faire des syndromes de la queue de cheval
  • Peuvent saigner (spots hémorragiques hypoT1, bordure d’hémosidérine)

f3e5e2cc6f250629c2ec53c6c809e79e.png 7275d640d4cc90a1472089d9808b4c16.png da6bb6cc93b2dbf2ad37c97c5f87bdad.png

e9d213a557ed4e2712cf72cca27f3c1b.pngde la colonne épendymome myxo papillaire