General
- Tumeur des voies biliaires
- Deuxième Cancer primaire du Foie (5-10% des tumeurs hépatiques)
- Extrahépatique (Klatskin (=hile) > VB extra-hépatiques) > Intrahépatique
- 3 formes intrahépatiques = Masse, Periductal, Intraductal
- Extension dans la VB principale gauche ou droite = contre-indication à la Chir

Facteurs de Risque
- Inflammation des voies biliaires Chroniques = CSP (Cholangite sclérosante primitive)++, Cholangites bactériennes à réptetitions
- Maladies Hépatiques chroniques = Hépatites C et B, Cirrhose, NASH
- Malformations des voies Biliaires = Kystes du Cholédoque, Caroli
Metastases
- Locales
- ADP locales
- Hematogènes (poumon, os, cerveau, surrénales)
CT
- Natif = hypodense
- Artérielle = prise de contraste périphérique non discontinue
- Portal = peut être remplie ou avoir un washout périphérique
- Tardive = Prise de contraste persistante (tissus fibreux)
- Rétraction capsulaire
- Lésions satellites fréquentes
- Attention aux sténoses dues aux maladies de Cholangites à IgG4 qui peuvent mimer le CCk

Hypodense, Prise de contraste tardive
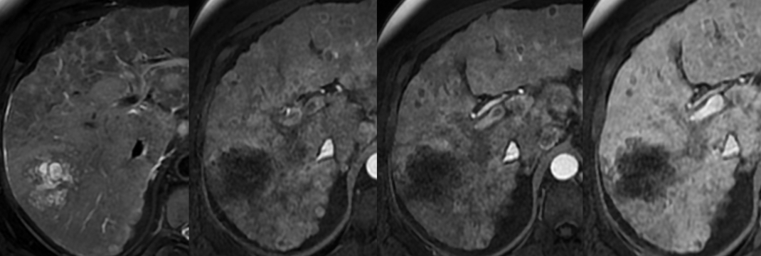
IRM
- Cholangio-IRM pour l’étude des voies biliaires
- T1 FS: Plus hypo que le parenchyme pancréatqiue
- T2 Hyper-périphérique (viable) et hypo- central (fibrose)
- T1 gd1+ : Meilleure détection des petits CholangioK que le CT

Cholangiocarcinome sur CHC
- Y penser dans les Cirrhoses car 2e lésion du foie
- Y penser dans les dialtations de VB
- Y penser dans les Target Sign
- Y penser dans les lésions fibrosantes Rétractiles
- Il existe des formes mixtes (HepatoCholangiocarcinomes)

Forme Mucineuse
- 10% des cas des Mass-Forming
- Lésions Pseudokystiques
- Dilatation des VB fréquente (obstruction par la Mucine)

TNM Cholangiocarcinome



cholangioca cholangioK cholangiok cholangio- cholangio-K chiolangio-k cholnagio-carcinome