Général
- Déchirure de l’intima → sang dans la média
- Cause d’AVC Ischémique fréquente chez le jeune
- Rétrécissement à l’Angio du Cou (Signe de la Flamme)
- Hypersignal de la paroi au SPACE Carotide (diamètre total augmenté mais diamètre circulant réduit)
- Douleur locale
- Céphalées ipsilatérales

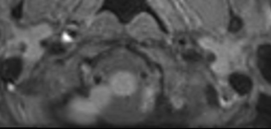
Imagerie en SPACE
- SPACE = Turbo-Spin-Echo 3D → Donc du Dark Blood
- On l’utilise en T1 FAS sur les vx du cou
- Checher un franc hypesignal, qui peut prendre 2j a apparaitre
- Forme de croissant
- Tourne en tire-bouchon
- Atteinte longue = évocateur
- Patient jeune = Evocateur
- Segment Pré-petreux = Evocateur



Dissection pré-pétreuse


Signe de la bougie et hématome péri-carotidien