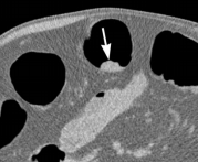
Polype Sessile

Polype Pédiculé


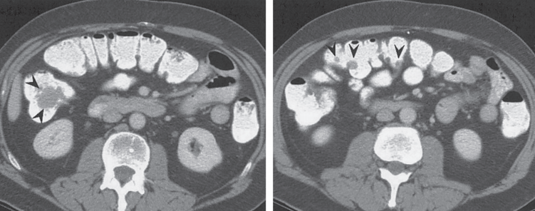
Polypose Familiale
polyp polypose pédiculé sessile colonique sigmoide sigmoïde sigmoïdien colique
1 min read
Polype Sessile

Polype Pédiculé


Polypose Familiale
polyp polypose pédiculé sessile colonique sigmoide sigmoïde sigmoïdien colique