Atrial Septal Defect (ASD)
Anatomie

Embryologie
- OD→ OG avant la naissance avec FOP normal
- OG>OD après avec fusion des septas, mais si défaut de fusion = FOP persistant
- les FOP peuvent faire des emboliess paradoxales dans le système artériel (cerveau++) car ils sont bi-directionnels (parfois G→D parfois D→G)
- N’ont pas d’impact hémodynamique (trop petits)

CIA Type Ostium Secundum
- La plus fréquente
- Defect Situé dans la région de la fosse ovale = central
- Contrairement au FOP = pas de valve


CIA Type Ostium Primum
- Rare
- Persistance de l’Ostium Primum
- Defect Situé en Bas = Antéro-inférieur (proche du septum interventriculaire)


CIA type Sinus Venosus
- Defect typiquement situé sur la paroi entre la veine cave sup et les veines pulmonaires droites
- Veine cave sup qui se jette dans l’OG
- 80% ont des retours veineux anormaux (PAPVR) en plus
- Peut être Supérieur++ ou Inférieur

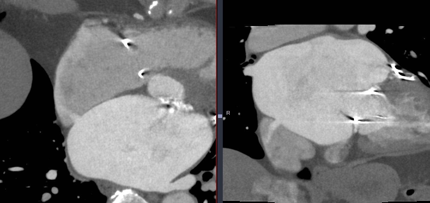
Cas
ASD paroi inférieur du septum interatrial
permeableFermeture device matériel parapluie diabolo septum atrial inter défect defect atriale septum septoum CIA ASD primum primoum secundum secoundum secoundoum secundoum venosum venosoum venosous sinus sinusous venieux veine venosoum venosum venosus interatrial