Général

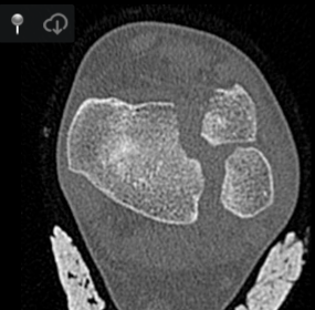
  • Fracture Salter III du tibia

fa7e03b2c11147f67d448bd0f48bfbf1.png 24c338cc9db3874a485de87858ca5ab9.png

Tilaux tilau tillau tillaud tilau tibaut thibaut till cheville ankle