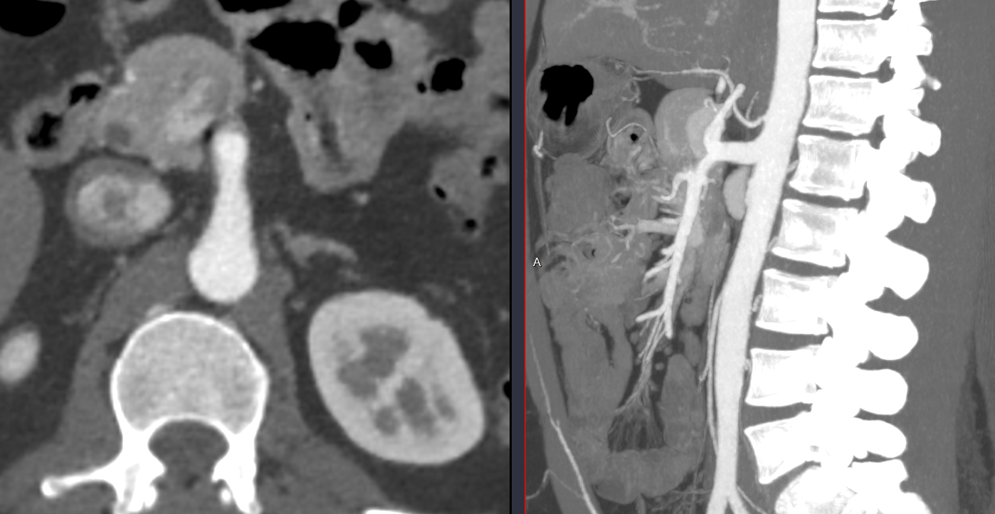
Général
- Origine commune du tronc coeliaque et de l’AMS
- Peuvent faire des Anévrismes


Cas

coeliomésentérique mésenterocoeliaque mésentero-coeliaque coeliac coeliaque trunk mésentérique AMS commun coelio-mesntérique coelio-mesentérique celiomesn celiomesenteric celio mesenterique