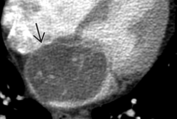
Myxome
Général
- La plus fréquente
- Obstruction de flux
- Embols
- Gelatineux (matrice myxoïde++)
- Traitement chirurgical
- DD: Thrombus (plutot postéro-latéral ou auriculaire)
- Peut entrer dans le cadre d’un Complexe de Carney (myxomes multiples)
Localisation
- Atrium gauche ++ (septum inter-atrial)
- Atrium droit (plus rare)
- Ventricules = Rare
CT
- Masse ovalaire du septum inter-atrial
- Pédicule court à large base
- Hypodense (plus hypodense que le sang natif ou le myocarde)
- Prise de contraste hétérogène
- Protrusion dans la lumière
- Complications: Embolies systémiques


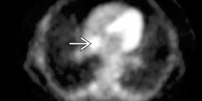
Hypertrophie Lipomateuse du Septum Inter-atrial
Général
- Deuxième tumeur la plus fréquente
- Septum inter-atrial++
- Pas un “vrai” lipome
- Capte le FDG (Graisse brune)
CT
- Masse hypodense: densité graisseuse
- Homogène
- Bien délimitée
- Epargne de la fosse ovale (aspect en haltère)


Lipome Cardiaque
Général
- “Vrai” lipome (encapsulé)
- Plus rare que les hypertrophies lipomateuses du septum
- ne capte PAS le FDG (pas de graisse brune)
Localisations
- VG ++
- OG
CT
- Ovoide, encapsulé
- Densité graisseuse homogène


Fibroélastome Papillaire
Général
- Tumeur la puls fréquente des valves (endocarde)
- CT: Masse ovoide, lobulée, avec pédicule
- DD: Thrombus, végétations (moins rond, pas de pédicule)
- Complications: embolisations

CT

PED
- Rhabdomyome
- Fibrome (calcifications)
Localisation

fobro fibro firbo elstome fibroelastome fibroelastome benignes begnines fibro-élastome mixome myxoma
HLSIA LASH HLSA elasto fibrome elastofibrome élastofibrome hypetrophie brown brune dumbbell dumbell diabolo hypretrophie lipomateuse hyperplasie HLSIA