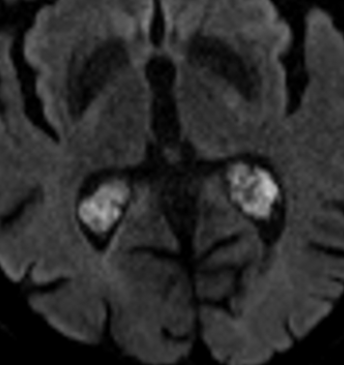
Kystes / Xanthogranulomes du Plexus Choroïde
- Fréquents
- Asymtpomatiques ++
- Non différentiables à l’imagerie
- Les Kystes du Plexus Choroïdes peuvent être vu en anténatal et régresser
- Kyste avec +- de l’épithélium qui s’accumule dedans
- Petits ++ (<1cm généralement)
- Lésions Kystiques à Paroi Calcifiées
- Peuvent restreindre la Diff

Papillome du Plexus Choroide PED (Grade I)
- Tumeur la plus fréquente du bébé < 1 an, rare chez l’adulte
- Atrium du ventricule latéral
- Hydrocéphalie Communicante par surproduction de LCR ++
- Masse homogène prenant fortement le contraste.
- Peut faire des drop metastases mais rare
- DD: Carcinome du Plexus Choroide

Carcinome du Plexus Choroide PED (Grade III)
- Tumeur Pédiatrique ++ (<5ans)
- Semblable à l’imagerie au Papillome du Plexus Choroide
- Tumeur ventriculaire (Atrium++) prenant fortement le contraste
- Moins tendance à l’hydrocéphalie par production de LCR
- Tendance à l’envahissement
- Tendence aux drop metastases (imager tout le névraxe)
choroïde seed