Gliomes autre
Grade I
Astrocytome Pilocytique Juvénile (Grade I)
- Tumeur de l’enfant de la fosse postérieure
- Tumeur pédiatrique cérébrale la plus fréquente
- Masse kystique avec nodule prenant le contraste

Gangliogliome (Grade I)
- Tumeur de l’enfant/adolescent épilpetique chronique
- Tumeur de cellules ganglionnaires (ganglio-) + gliales (gliome)
- Tumeur kystique avec nodule prenant le contraste
- Lobe temporal++ (Première cause d’épilepsie temporale)
!
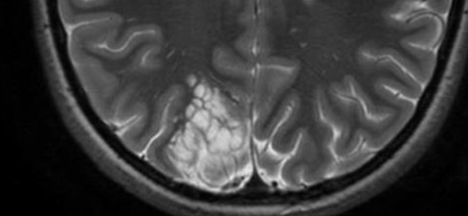
DNET (Grade I)
Dysembryoplastic neuroepithelial tumor
- Enfants epiléptiques réfractaires ++
- Tumeur corticale
- Peu de prise de contraste
- Apparence en “Bulles de Savon” sur le T2 (supprimée en FLAIR)
- Différence avec les DNET: Les MVNT sont juxtacorticales alors que les DNET plutot corticales
- A ne pas confondre avec les PNET du SNC (Grade IV) qui sont des tumeurs malignes mortelles pédiatriques (version supratentorielle du Medulloblastome (Grade IV)

Astrocytome Sous-épendymaire à Cellules Géantes (SEGA) (Grade I)
- Associé à la sclérose tubéreuse de Bourneville
- Masse du ventricule latéral (près du foramen de Monoro) qui prend le contraste
- DD avec un épendymome = surtout la taille = >1cm

Subependymome (Grade I)
- Masse ventriculaire (Obex++) sans prise de contraste
- En général petit (<2cm)
- Fait des Hydrocéphalie Non-Communicante
- Gliome de grade I variante de l’Ependymome (Grade II) (fosse postérieure)
- A ne pas confondre avec le Astrocytome Sous-épendymaire à Cellules Géantes (SEGA) (Grade I)

Grade II
Xanthoastrocytome Pléomorphe (PXA)(Grade II)
- Enfants épileptiques
- Tumeur kystique prédominant
- Prise de contraste
- Épaississement Dural adjacent
- Lobe temporal++
- Si enfants de <1 an, même apparence = Gangliogliome Desmoplastique Infantile

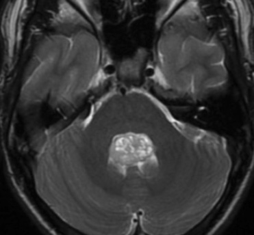
Ependymome (Grade II)
- Pédiatrique ++
- Tumeur du 4e ventricule
- Extension en toothpaste squeeze
- Extension au foramen de Magendie et Lushka ++

cerebrales cerebrales épendymome dentifrice tooth paste tothpaste Gliomes autre cerebrales cerebrale tumeur SEGA SGCA Dysembryoplastic neuroepithelial tumor Tumeur dysembryoplasique neuroépithéliale PED Dysembryoplastic neuroepithelial tumor Tumeur dysembryoplasique neuroépithéliale PED nourisson nourisson infant enfant gangliogliome demoplast desmoplastique