Anatomie

Mésiodens
- Dent surnuméraire de la ligne médiane
- Dans le maxillaire

Distodens
- Molaire surnuméraire postérieurement à la 3e molaire

Traitement de Racine

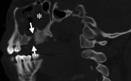
Fistule orosinusienne
- Après extraction dentaire ++
- Se ferme spontanément jusqu’à 2 mm
- Sinon forme une fistule
- Cliniquement : bulles sortant autour de la dent quand on gonfle le nez
- Souvent epaississement muqueux et comblements du sinus maxillaire

Emphysème sous-cutané post-extraction
- Lors d’utilisation de foreuse à air
- Rares

Avulsion de dent
- Post-trauma
- Elargissement de la zone du ligament parodontal
- Jeunes++

Fracture de Dent

Parodontite
- Cause la plus fréquente de perte de dents
- Plaque dentaire > Gingivite > Destruction du ligament parodontal > Resorption osseuse
- Elargissement de l’espace du ligament parodontal
- Osteolyse
- Defaut de recouvrement des dents

Osteolyse (blanc), elargissement du ligament parodontal (noir)

Defaut de recouvrement dentaire
Pericoronite
- Inflamation au niveau de la couronne
- Peut se propager inférieurement et faire des abcès

Abcès Dentaire

Caries
- Processus lent
- Peut aller en sens inverse avec le fluor
- Salive = protecteur de carie
- Souvent petit tunnel de l’émail et grosse zone profonde de la dentine







Maladie péri-apicale
- Carie > Infection de la pulpe > Mort de la Dent > Atteinte de l’Apex et lyse osseuse > Périodontite Apicale
- Inflamamtion contenue en région péri-apicale
- Spectre de lesion
- Granulome péri-apical
- Kyste péri-apical (radiculaire) (radiologiquement semblable au granulome)
- Abcès périapical

Granulome périapical
Sinusite odontogène
- Vient d’une maladie péri-apicale ++
- Bacteries différente que les autres sinusites
- Visualisation d’une dent avec une carie et une périodontite apicale

Sinusite + périodontite apicale avec dent cariée = suspicion
Abcès submandibulaire
- Premier site d’abcès odontogène
- Chercher l’ostéomyélite de l’os adjacent

Abcès submandibulaire

Odontome
- Tumeur odontogène la plus fréquente (2/3)
- Chez les jeunes
- “Hamartome dentaire”
- Hypodense → Se densifie, se calcifie


Ameloblastome
- Deuxième tumeur odontogène la plus fréquente (1/3)
- Originaire des cellules épithéliales formant l’émail
- Mandibule postérieure ++ (région molaire)
- Lésion Hypodense ou Kystique, expansive
- Localement agressive, erosions
- Croissance lente

Ameloblastome: Lésion kystique multiloculée expansive

Cas
Abcès
Abces sous-periostié mandibulaire suite a extraction dentaire
couronne courone dent dentine gencive gingival alvéol alvéole alvéolaireoro-sinusienne oro-antrale oroantrale oroantral orale sinus sonus sinusale orosinusale luxation sub-mandibulaire mesiodens mesiodent améloblastome odontogene periapical periapicale péri peri apical apicale abces absces parontidite emphysme emphyseme cutane oro-sinusienne