Generalité

  • 95% des cancers du pancréas
  • Detection retardée surtout si queue/corps
  • Seul traitement curatif = Chirurgie R0
  • Chirurgie = 20% des patients et 20% de survie à 5 ans
  • Tête (60%) Corps (15%)/ Queue(15%) diffus (10%)
  • Hypercoagulation = font des EP ++
  • Biologie: CA 19-9

Metastases

  • Foie
  • Péritoine (Carcinose péritonéale)
  • Poumons
  • Ganglions locorégionaux
  • (Surrénales, Plèvre)

CT

  • Bon pour évaluer la non-réséquabilité, mais pas pour affirmer la réséquabilité
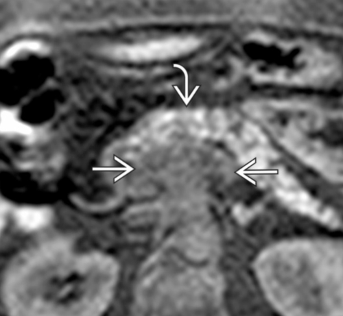
  • Masse hypodense mal délimitée (formation de tissus fibreux avec le tissu sain par réaction desmoplastique)
  • Visible en Hypodense au temps pancréatique (40s) et veineux (70s)
  • Infiltre le rétropéritoine++
  • Double duct sign avec arrêt abrupt du cholédoque
  • Infiltration artérielle: <180° vs >180° et cranio-caudalement >2cm vs <2cm
  • Infiltration veineuse: Contact, engainement, sténose, occlusion
  • Infiltration de la lame rétroporte (entre l’AMS et l’uncus)
  • Varices gastro-epiploiques si sténose VMS ou Veine splénique
  • Se calcifie presque jamais (contrairement aux pNET)


IRM

  • Bonne détectabilité en T1 FS et T1FS Gd+ (parenchyme plus intense que le foie)
  • le pancréas dilaté en amont, atrophique, sera de signal T1 plus bas
  • Hypointense avec prise de contraste tardive
  • Pas génial en artériel en IRM (le pancreas est hypervasculaire)
  • Restriction de diffusion (mais n’aide pas trop car d’autres choses restrictent, comme les pancréatites autoimmunes)
  • Cholangio-IRM: cutoff abrupt du cholédoque
  • Moins bon que le CT pour l’envahissement vasculaire



Lame rétroporte

30ae661f336d9a14a72e6852301c9dff.png22273c6770a8130d84ddd7d72bac2330.png


Critères de résequabilité

f714b82c2c81048997e1e4aff9f1337a.png


Anatomie

f6ef4eab70281ad7ee25511f28770a1b.png


corps tête isthme isthm queue body tail uncus neck col pancréatique ADK du pancréas pancréatique ADK du pancréas pancréatique