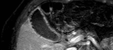
Généralité
- Hyperplasie de la muqueuse et formation de sinus de Rokitansky-Aschoff (= diverticules intramuraux)
- Accumulation de cholestérol
- 10% des vésicules

Imagerie
- Se voit mieux en US et IRM qu’au CT
- US: Comet-tails de la paroi comme avec des calculs
- IRM: Non infiltratif, pas de réhaussement (DD Adenocarcinome)

Sinus de Rokitansky

Comet tails de la paroi
adenomyose adéno myose myomatose vesiculaire vesicule vésicule biliaire adénomyose Rokitansky rotikan