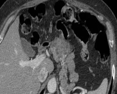
Cystadénome Mucineux
- Bénin mais risque de transformation Cystadénocarcinome Mucineux (non distinguable)
- Masse kystique plutot grande >2cm
- Queue du pancreas ++
- Plus il y a de mucine plus elle est hyperT1
- Capsule pouvant être épaisse
- Calcifications plutot périphériques
- Mother Lesion (98% femmes d’age moyen!)


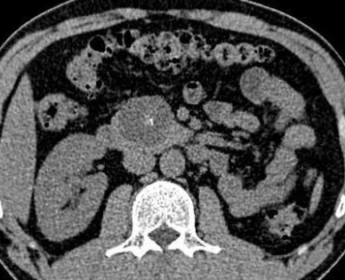
Cystadénome Séreux
- Bénin SANS risque de transformation
- Masse microkystique plutot grande >2cm
- Tête du pancréas++
- PAS de capsule
- Calcifications plutot centrales
- Vu dans le VHL
- Grandma lesion


cystadenome cyst adenome adénome adenome mucine mucineux pancreas pancreatique pancréas