Kyste splénique
- Lésion la plus fréquente
- Souvent unique
- Peut être calcifié
- DD Echinococcose (lésion mère et fille)

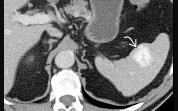
Hemangiome
-
Le plus fréquent
-
Difficile de les distinguer de l’hamartome
-
Généralement < 2cm
-
CT: Homogene kystique ou solide
-
Réaussements, Calcifications, Portions kystiques (30%)
-
IRM: Comme dans le foie (hyperT2, remplissage arteriel puis veineux), mais on voit rarement le remplissage en motte periphérique)
-
Angiomatose générale = Syndrome de Klippel-Trenaunay-Weber

Hamartome Splénique
- Rare
- Imagerie peu specifique
- Peu distinguable de l’hémangiome
- Tendance a être hyper arteriel et s’homogeniser en tardif

Lymphangiome Splénique
- Rare
- Souvent multiples
- Paroi fine, bien delimité
- Hypodense / kystique
- Avec septations parfois
- Avec calcifications parfois

SANT
Sclerosing angiomatoid nodular transformation
- Lésion vasculaire rare, bénigne
- Grandes (3-17cm)
- Hypo T2 ++ (caracteristique importante)
- Hétérogène Hypo T1
- Réhaussement périphérique et septal
- Cicatrice centrale




Autres lésions rares
- Angiome à cellules litorales
- Angiomyolipome (sclerose de bourneville)
tumeurs Lésion bénignes bégnines rate splenique hemangiome hamartome hemangioma angiome angioma hamartoma benignes begnignes