Tendon Quadriceps



Recessus supra-patellaire


Recessus para-patellaire

Trochlée fémorale

Tendon patellaire




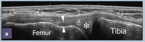
Genou Médial
Ligament Collatéral Médial


Genou Latéral
Ligament Collatéral Latéral



Genou Postérieur
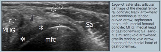
Tendons Médiaux



**Bourse Semimembraneuse-gastrocnemien **



Fosse poplitée

LCP

