Fracture intra-articulaire

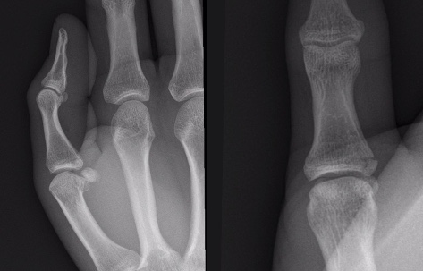
Fracture dorsale d’avulsion de l’IPD
- Le doigt se déforme en Maillet et reste en flexion

Fracture palmaire d’avulsion de l’IPD
- “Jersey finger” (en atrappant le Jersey d’un rugbyman qui court)
- Le Jersey finger n’est pas forcément osseux il peut atteindre que le ligament

Fracture palmaire d’avulsion de l’IPP
- Assez fréquent en mécanisme d’hyper-extension

Fractures diaphysaire des métacarpes
- Boxeurs, Bagarreurs
- Patients Psy qui frappent contre un mur

Fracture de MCP 1 (Pouce du skieur/Gamekeeper’s thumb)
- ne PAS fait de stress view pour mieux voir = risque de blessure chirurgicale


Fracture de MC 1
- mnemotechnique: Benett = Bi


gamekeeper game keeper thumbTrauma phalanges phalange D1 D2 D3 D4 D% IPP IPD MCP métacarpe metacarpe metacarpo métacarpo phalangienne phalange inter interphalangienne proximale proximal distal mallet finger épibasal épibasale epibasal
roland fracture MCP base metacarpe 1 premier métacarpe metacarpien métacarpien metacarpienne métacarpienne benet bennett bennet base du pouce benett ronaldo