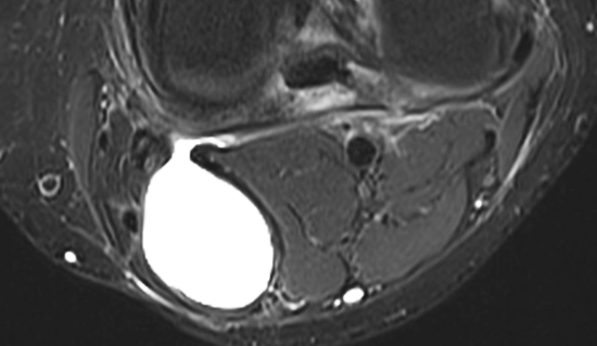
Kyste Mucoide (Ganglion Cyst)
- Pseudokyste (paroi fibreuse, pas de synoviale)
- Collection Liquidienne pluriloculée
- Liquide épais avec débris
- Se forme sur micro-traumatismes
- Péri-articulaire ( Poignet ++, Genou)
- Péri-méniscal
- Intra-osseux = Kyste d’inclusion

Kyste Synovial
- Vrai Kyste = Hernie de synoviale
- Communique avec l’articulation
- Lliquide articulaire
- Kyste de Baker = Le seul vrai kyste synovial globalement
- Autres localisations (Hanche, Epaule, Zygapophysaire)
