Anatomie

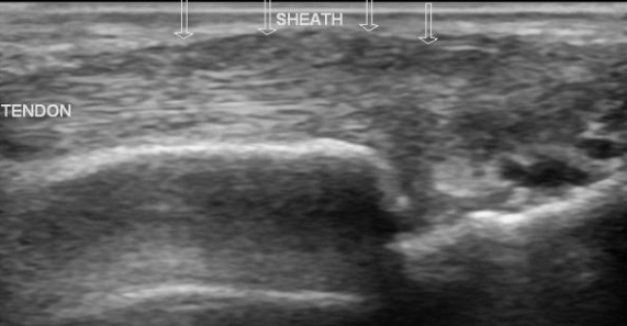
Tendinose et Ténosynovite

Ténosynovite du Tunnel Carpien

Déchirure Partielle

Déchirure Complète

Syndrome de l’Intersection Distale
- Du aux mouvement repetés
- Croisement des 2e et 3e compartiment (Extenseurs du Carpe Vs Long Extenseur du Pouce)
- Se fait 4cm plus bas que le tubercule de Lister (bien couvrir sur IRM !)
- Oedème Péritendineux (pas dans la gaine)

Tenosynovite de la jeune maman (de Quervain)
- Ténosynovite du premier compartiment
- Mères qui portent leur enfant ++
- Inflammation des tendons au niveau de la styloide radiale


tendon extenseur teno téno bebe enfant bébé berce berçant