Général pr
- Maladie autoimmune (Facteur Rhumatoide, anti-CCP)
- Synovite → Prolifération Synoviale (Pannus)
- Epanchement pleural
- But: diagnostic précoce car dur à traiter après
- TTT: Corticoides (aigu), Metothrexate (fond)
Doigts
-
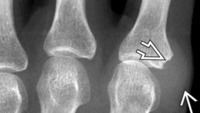
Rayons atteints = MCP et IPP
-
Initial
- Erosions marginales (en “coup d’ongle”) du bord radial de la tête des 2e et 3e MCP
- puis des bases phalanges
- Tuméfactions
-
Evolution
- Pincement
- Erosions
- Deformation en boutonnière (flexion IPP, extension IPD)
- Deformation en col de cygne (extension IPP, flexion IPD)
- Deformation “en coup de vent” cubitale des MCP






Poignet
- Précoce
- Erosion de la styloide ulnaire
- Erosion de la face latérale de la scaphoide
- Avancé
- Carpite avec fusion



Rachis cervical
- Arthrite C0-C1, C1-C2
- Diastasis C1-C2 (Subluxation Atlanto-Axiale antérieure)
- Pannus C1-C2 hypervascularisé
- Erosions de l’Odontoide


Sacro-iliaque
- Sacro-iliite avec atteinte bilatérale symétrique
- Moins marquée que dans le MICI ou Spondylarthrite ankylosante

Pieds
- Erosion de l’aspect latéral de la 5e MTP++

Schema Resumé des mains

poly arthrite rhumatoöde