Général
Stress mécanique ⇒ nécrose avasculaire (A ne pas confondre avec Ostéochondromatose)
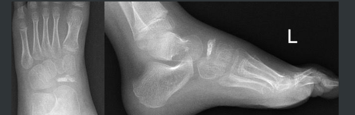
Maladie de Freiberg
- Nécrose avasculaire des Têtes Métatarsiennes
- 2e Métatarse++
- Plus rarement 3e ou 4e MT
- Jeunes filles de 10-18 ans

Maladie de Kienbock
Lunatomalacie
- L’os semi-lunaire est très faiblement vascularisé de base
- Nécrose avasculaire d’un os semilunaire
- Souvent associé à une variance ulnaire negative (l’ulnaire bas fait que le radius prend plus de charge et par conséquent le lunatum derrière aussi)


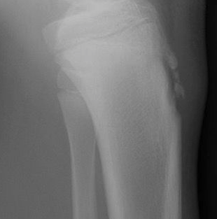
Maladie de Sinding-Larsen
- Traction chronique sur l’insertion rotulienne du tendon patellaire

Maladie d’Osgood-Schlatter
- Microtrauma sur la TTA (insertion tibiale du tendon patellaire)
- Ne pas confondre avec un noyau d’ossification normal de la TTA
- Ne pas confondre avec une lésion traumatique d’avulsion aigue (le contexte aide)

Maladie de Kohler
- Ostéonécrose du Naviculaire

Maladie de Panner
- Ostéonécrose du Capitellum

Maladie de Perthes
- Cf article Perthes
kicenbock kienbiock kienbock kiebbök coude capitelum capitulum capitullum kienböck kcienbok kienbok sinding sliding larson necrose necroses koler kohler sindinglarsen sinding slinding larsen osgoodschlatter schlatter schlater kienbok freiburg Ostéochondroses osteochondroses osteochondroses necrose nécrose necroses nécroses avasculaire avasculaires