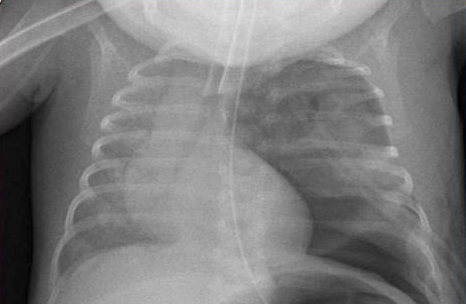
Catheter Ombilical Arteriel et Veineux

- On a de la Veine d’avoir 2 artère (= 1 veine ombilicale et 2 artères ombilicales)
Sonde Trachéale et Drain Pleural

SNG

chest tubes lines line ligne lignes line vvc voies veineuses catheter cathéter ombilic ombilical ombilicales