Type de lésions
- Masse
- Calficiation
- Asymétries de Densté
- Distortion architecturale
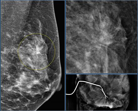
Masse
Masse
- Forme: Ovale, Ronde, Lobuée, Irrégulière
- Marge: Bien délimitées, Obscure, Microlobué, Mal délimitée, Spiculée
- Densité: Graisseuse, Hypodense, Isodense, Hyperdense
Forme
- Ronde
- Ovale
- Lobulée
- Irrégulière

Marges
- Bien limitée (>75%)
- Obscurcies
- Microlobulée (suspect)
- Mal délimitée (suspect)
- Spiculée (très suspect)

Densité
- Graisseuse
- Hypodense (rare dans le cancer)
- Isodense
- Hyperdense (suspect)

Distortion Architecturale
- Distortion sans masse visible vs distortion associée à une trouvaille
- Cancer vs Tissus cicatriciel

Asymétries
- Asymétrie: sur une projection
- Asymétrie focale ou globale: sur deux projections


Asymétrie focale

Asymétrie globale
Calcifications
Calcifications Bénignes
- Peau
- Lait de Calcium (milk of calcium)
- Batonnet
- Dystrohpiques
- Popcorn
- En anneau
- Vasculaires
- Rondes
- ponctiformes

Calcifications Suspectess
- Amorphes
- Fines pléomorphes
- Epaisses hétérogènes
- Fines linéaires / en branches

Distribution
- Diffuses
- Régionales (>2cm)
- Groupées (<2cm)
- Linéaires (60% malin)
- Ségmentaires (60% malin)

Lésions associées
- Retraction cutanée
- Retraction du mammelon
- Epaississement cutané
- Epaississement Trabéculaire
- Adénopathie axillaire
- Distortion architecturale
- Calcifications
BI-RADS Rapport Final
BI-RADS 0 (X%)
- Soit Besoin de plus de vue
- Soit besoin d’un US

BI-RADS 1 (0%)
- Rien de visible
- Rien à faire

BI-RADS 2 (0%)
- Fibroadénomes calcifiés (involués)
- Calcifications en batonnets multiples
- Calcifications vasculaires
- Ganglions intra-mammaires
- Kystes
- Kystes huileux
- Lipomes
- Galactocèles
- Hamartomes mixtes
- Implants
- Distortions architecturales post-chirurgie
- Suivi après chirurgie conservatrice

BI-RADS 3 (2%)
-
Lésion bien délimitée non calcifiée sur un baseline
-
Asymétrie focale qui diminue de densité en compression
-
Groupes de calcifications ponctiforme solitaires
-
Recommandation: Suivi à 6 mois

BI-RADS 4 (2-95%)
- BI-RADS 3 qui évolue
- Aspect suspect mais pas “classique de malignité”
- On peut ajouter suspicion 4a (léger), 4b (moderé) ou 4c (forte)

BI-RADS 5 (95%)
- FORTEMENT suspect
- Spiculé, irrégulier de forte densité
- Calcifications fines linéaires disitrbuées en segment ou linéaires
- Masse irrégulière spiculée avec calcifications pléomorphe

BI-RADS 6
- Path-PROVEN
Sein lésion birads guidée
Suivi BI-RADS 3
