Général
- Dépot de protéines (amyloide) mal repliées sous forme de fibrilles amyloïdes
- Maladie Rare
- Plusieurs sous-types (AL, AA, AH…)
- Peut être systémique ou localisée
- Atteinte pulmonaire = fréquente mais rarement symptomatique
- Trois patterns Pulmonaires
- Amyloidose Nodulaire
- Amyloidose Diffuse Alvéoloseptale
- Amyloidose Trachéo-bronchique

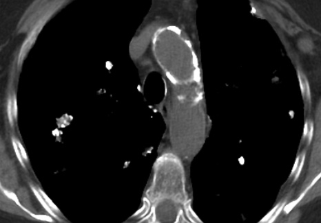
Amyloïdose Pulmonaire Nodulaire
- Associé aux Sjogrens avec LIP ++ et aux lymphomes MALT
- Dépots de Nodules (Amyloïdomes) Souvent calcifiés
- Forme “AL Localisée” ++
- Peuvent avoir des kystes
- Souvent confondu avec des métastases (dans le DD), en plus ils captent le FDG !

Amyloïdose Pulmonaire Diffuse Septo-Alvéolaire
- Plus rare
- Infiltrat interstitiel diffus aspécifique

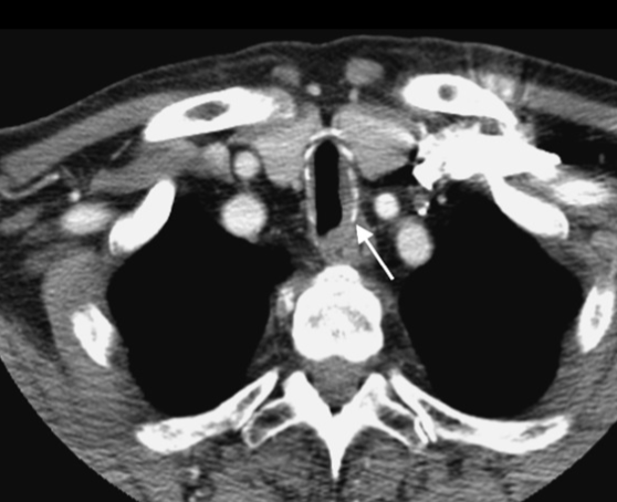
Amyloidose Trachéo-bronchique
- Amyloïdomes dans la paroi muqueuses
- Epaississements nodulaires irréguliers
- Touche les parties cartilagineuses et non cartilagineuses (paroi postérieure++)


thorax amyloïdome amyloidome trachéale tracheale trachée trachee amyloidome amyloidoma thoracique lung poumons poumon pulmonaires amyloid amyloïde amyloide amyloidose amylose amyle amilose amiloidose