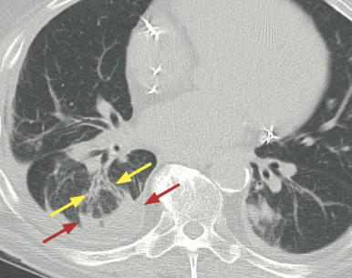
General

5 critères

  • Forme ronde
  • Périphérique sous-pleurale (lobes inf post++)
  • Perte de volume adjacente
  • Vaisseaux et bronches courbes (“queue de comète”)
  • Anomalie pleurale sous-jacente (epanchement, plaque, carcinose,…)

0d886afca13c57bc23da3f1c03ae059b.png


Cas


atelectasie round rounde ronde rond enroulement roulement queue de comete comette comète comètte commete commète plevre pleurale