Général

  • Densité CT 35-70 HU

b75a6570b69536593f30559e8fa93dc7.png 78a818b89bea823ecfd266ef75ae8ebc.png


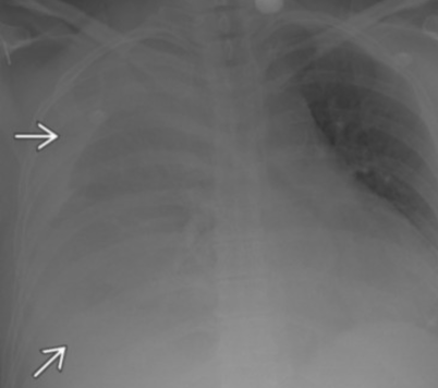
Cas

Hemothorax avec saignement actif intercostal embolisé


Hemothorax hémo hemo thorax