Masse Médiastinale Antérieure = Les 5 T
Tératome
- E aussi Tumeurs à cellues germinales (séminome)
Thymus
- Thymome
- Cancer Thymique
Thyroïde
- Goitre
Terrible Lymphome
- Masses nodulaires
Thoracic Aorta (ascendante)
- Anévrisme
- Donc techniquement pas une “masse”
Masse Médiastinale Moyenne
Néoplasies
- Invasion médiastinale d’un cancer pulmonaire ++
- Adenopathies
- Lymphomes
- Etc.
Péricarde
- Kyste pleuro-péricardique
Oesophage
- Henie hiatale
- Tumeur
- Kyste de duplication entérique
Bronches
- Kyste de duplication bronchique
Infections
- Abcès
Vasculaire
- Pathologies aortiques
- Artères pulmonaires
- Artères bronchiques
Masse Médiastinale Postérieure
Néoplasies Neurogènes
- Tumeurs des gaines nerveuses (Schwannome)
- Tumeurs des chaines sympathiques (Neuroblastome si PED ou ganglioneurome)
- Tumeurs des chaines parasympathiques (Paragangliome)
Néoplasies Neurogènes
- Sarcomes
- Lymphomes
- Métas
Kystique
- Méningocèle
- Kyste du duplication
Infections
- Abcès paraspinal
Vasculaire
- Aorte thoracique descendante
- Hématome
- Varices
Autre
- Lipome
- Hématopioese extramédullaire
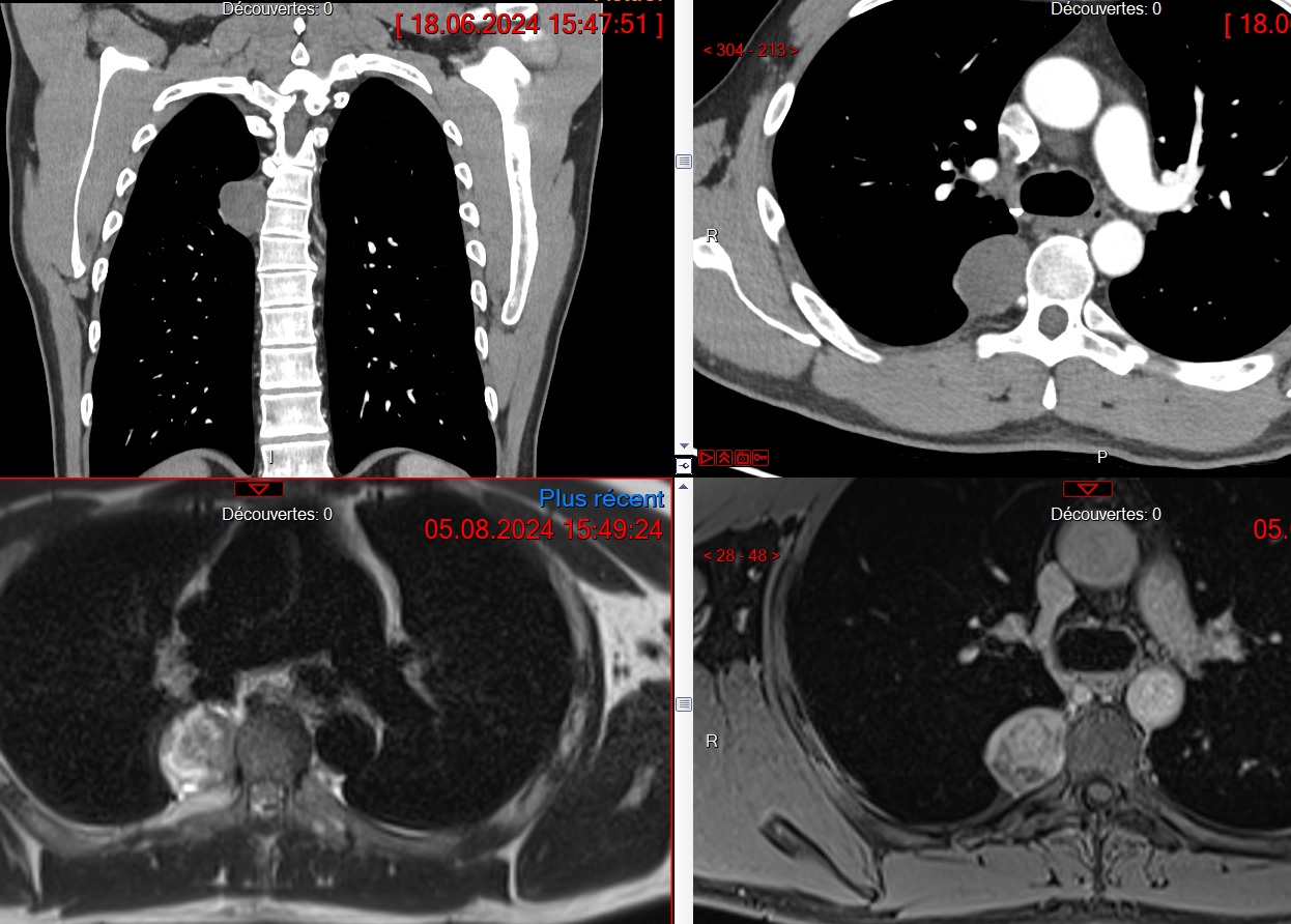
Cas
Masse Médiastinale Postérieure

Schwannome
les 4 T thymome tertome thymus thyroide goitre thyroïde thyroidien thyroïdien goïtre médiastinale médiastinales medistinales mediastinale antérieure anterieure antérieur anterieur germinal mature dermoide dermoïde kystique kyste seminome