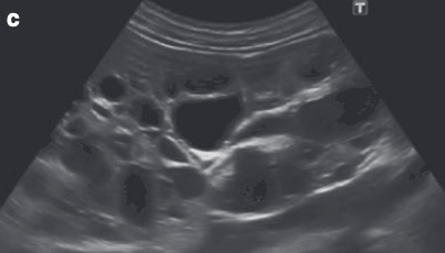
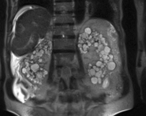
ADPKD
Autosomal Dominant Polycystic Kidney Disease
- Polykysose Dominante
- Adulte
- Kystes milimétriques à centimétriques
- Elargissement rénal
- Kystes Hépatiques ++ (mais aussi pancréas, rate, gonades)
- Associé à Hypertension (Chercher anévrismes du polygone de Willis)
- Pas associé au RCC, mais vu qu’ils finissent sous dialyse finalement le risque est “augmenté”
- Mesurer la volumétrie → Le risque c’est les patients progresseur rapide en volume


ARPKD
Autosomal Recessive Polycystic Kidney Disease
- Polykystose Récessive
- Pédiatrique
- Elargissement Massif rénal
- Kystes microscopiques voir invisibles (Hyperéchogènes, Poivre et sel à l’US)
- Associé à l’hypoplasie pulmonaire
- Toujours associés à une fibrose hépatique plus ou moins avancée
- Ne pas confondre avec la Dysplasie Multikystique

ACKD
Aquired Cystic Kidney Disease
- Polykastose Acquise
- Patients en IRC terminale, souvent en dialyse
- IRC et dialyse = Risque de RCC augmenté
- Non connus pour une polykystose rénale à la base
- Reins de petite taille

MCKD
MuliCystic Dysplastic Kidney Disease
General
- Rein non fonctionel, multikystique unilatéral
- Rein gauche > Droit
- Jamais bilatéral car non compatible avec la vie
- Rein controlatéral avec anomalies (reflux, syndrome de la jonction,…)
- Seconde masse abdominale du nouveau né après Syndrome de la jonction
- Pas beson de néphrectomie, pas de risque de transformation maligne
US
- Contrairement au Syndrome de la jonction, le plus gros kyste est excentré

MCKP MCDK MCDK ADKPD Autosomic autosomique dominant ADPDK ARPKD ARPDK ARDKP ARDKP mulicystic multi cystic multikystique multi kystique kystose polykystique poly kystique polykystiques MCKP mulicystic multi cystic multikystique multi kystique kystose polykystique poly kystique polykystiques poly kystose polykystose cyst